Dental Crowns
Dental Crowns at Deccan Dentics
Restore Your Teeth, Renew Your Smile
Dental crowns, also known as caps, are custom-fitted to cover and protect damaged or weakened teeth. They are a remarkable solution that not only restores the functionality of your natural teeth but also enhances their appearance.
Need help ?
Schedule your initial consultation today and start your journey towards a pain-free, healthier smile. Contact us now!
How Dental Crowing is done in Deccan Dentics?
At Deccan Dentics, we take great pride in our ability to rejuvenate smiles through this specialized treatment. Here’s a detailed look at the dental crown procedure:
- Consultation:
The voyage commences with an initial consultation. During this visit, our dentist will assess your oral health, discuss your concerns, and determine if a dental crown is the right solution for your specific case.
- Treatment Planning:
If a dental crown is recommended, a comprehensive treatment plan is created. This includes selecting the appropriate crown material (ceramic, porcelain, metal, zirconia, etc.) and coordinating the procedure timeline.
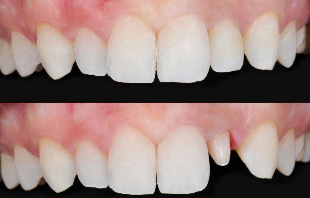
- Tooth Preparation:
The tooth receiving the crown is prepared during the next appointment. This entails skillfully sculpting the tooth to create a perfectly tailored space, an architectural canvas ready to embrace the forthcoming crown. Anesthesia is administered to ensure your comfort during this process.
- Impressions:
After reshaping, impressions of your tooth are taken. These impressions serve as a precise mould for creating your custom dental crown.
- Temporary Crown:
While your permanent crown is being crafted, a temporary guardian crown is gently positioned over the prepared tooth. This safeguard ensures your tooth’s protection and maintains its essential role during the interim.
- Crown Fabrication:
Your custom dental crown is meticulously crafted in a dental laboratory, where skilled technicians ensure it perfectly matches the color, shape, and size of your natural teeth.
- Final Fitting:
Once your permanent crown is ready, you return for the final fitting. The temporary crown is removed, and the new crown is placed and carefully adjusted to ensure a precise fit and bite.
- Bonding and Polishing:
Once the fit is confirmed, the dental crown is permanently bonded to your tooth using dental cement. Any final adjustments are made, and the crown is polished to a natural sheen.
- Post-Procedure Care:
Your dentist provides post-procedure care instructions. It’s essential to maintain good oral hygiene to ensure the longevity of your dental crown.
- Benefits of Dental Crowns:
After the dental crown procedure, you can enjoy the restoration of your tooth’s function, strength, and appearance. Dental crowns can last for many years with proper care.
Restore Your Smile Today!
Don’t let a damaged tooth affect your smile or confidence. Visit Deccan Dentics for high-quality dental crowns that look and feel just like your natural teeth.
